糖のエネルギー代謝を理解した歯科衛生士が主役の時代へ~むし歯は代謝病~
「砂糖の制限と、砂糖の利用(代謝)障害が、虫歯を起こす」〜実は宿主側が虫歯を作っていた。代謝の回復には歯科衛生士が主役〜
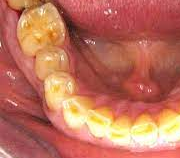
歯は酸で溶かされ虫歯になります。
むし歯 - 歯とお口のことなら何でもわかる テーマパーク8020
虫歯予防は、結局は歯を溶かす「酸」との戦いでした。
虫歯原因菌が歯につき、砂糖から乳酸を産生して歯を溶かすということでした(germ theory)。
むし歯の原因と予防の考察④ ~病原体は根本原因ではない~ - MDCのブログ
歯を取り巻く環境が歯を溶かす「酸性」になるには、砂糖と虫歯菌だけでは役不足です。
宿主側の体内環境が酸性に傾くと、歯は溶けます。唾液など分泌液で菌が出す乳酸も中和ができません。
ご存知の通り、われわれの体の細胞も、解糖系で乳酸を発生させます。
乳酸の発生と、緩衝系等で分泌液で酸を中和する能力の低下は、ミトコンドリアでの糖のエネルギー代謝の低下と密接にリンクしています。
歯の内部の歯髄がある狭い空間(歯髄腔)の細胞(象牙芽細胞など)が、糖のエネルギー代謝障害を起こすとどうなるでしょうか。

歯髄腔は、閉鎖させた狭い空間であるため、酸欠も起こしやすいです。(低酸素なので歯髄腔から幹細胞を採取することができます)
(Tissue and Cell Volume 76, June 2022, 101819)
砂糖をTCA回路へ回せないために、血糖値が上がった時に、糖を発酵(解糖系)させるため大量の乳酸が発生します。
リンパ排泄システムのない歯髄腔では、DFT(象牙質液体環流)によって、象牙芽細胞は、歯の内部から外側(エナメル質側)に向かって体液を排泄(分泌)すると考えられます。
(Eur J Oral Sci. 2020 Oct;128(5):365-368. doi: 10.1111/eos.12733. Epub 2020 Aug 14.)
歯髄腔内の細胞が、いわば「ガンの代謝」になった時、歯は内部から乳酸で侵されていきます。(「ガン安心療法」崎谷博征医師参照)
よって、う蝕円錐という、内部で虫歯が広がる(象牙芽細胞突起の末端から乳酸に侵される)という特徴が出ます。
コラーゲン分解も、宿主側がスイッチを入れます。
(J Dent Res. 1998 Aug;77(8):1622-9. doi: 10.1177/00220345980770081001.)
咬頭部や切端部の脱灰も起こり得ます。
(ネットより借用)
虫歯から歯髄炎へと進行するときは、ある意味歯髄腔内の前がん状態といえる代謝状態です。
砂糖からミトコンドリアがエネルギーを作れないから、虫歯や歯周病になります。
「terrain theory 」(宿主説)、糖のエネルギー代謝を理解でき、長年の歯科の常識を変えられるのは、おそらく歯科衛生士さんでしょう。
歯を削る必要もほとんどなくなります。
糖のエネルギー代謝から見ると、口腔組織の観察・口腔衛生・栄養指導が発達・体と心の健康・全身疾患と蜜月関係であるために、歯科衛生士の役割はとても重要なものになるでしょう。